腸間膜とは(mesentery,mesenterium)
- 腸間膜小腸間膜、横行結腸間膜、S状結腸間膜などがある。いずれも後腹膜の前傍腎腔(二次性後腹膜)と連続している。
- 腸間膜は2枚の腹膜の間に、血管(SMA/V、IMA/Vとその分枝)、リンパ管、リンパ節、神経が挟まれ、それらの間隙を脂肪組織が埋め尽くす構造をしている。正常では血管と脂肪しか見えない。
- 大網は横行結腸よりも前にあることから腸間膜とは区別される。
- なぜ理解が必要か?→腹膜臓器間、腹膜臓器と後腹膜臓器が間膜を介して連絡していることを知らなければ、悪性腫瘍や炎症病変の進展やリンパ節転移を診断することができないから。
※間膜というのは、腹膜(厳密には漿膜上皮)が表面を被いながら反転して二重膜となっているもの。
※漿膜は、心腔では心膜、胸腔では胸膜、腹腔では腹膜と呼ばれる。漿液性の分泌物を器官の外側に向けて分泌しており、これにより器官同士の摩擦を軽減している。逆に言えば、漿膜があるのは、胸膜腔や腹膜腔などの体腔に面している部位だけ。
※食道は漿膜に被われていないため、病変が広がりやすい。どの臓器が漿膜にどの程度被われているのかは、下の通り。

- ①全体が漿膜に包まれる:胃、空腸、回腸、横行結腸、S状結腸、虫垂、卵巣、上腸間膜静脈
- ②大半が漿膜に包まれる:肝臓、盲腸、上行結腸、下行結腸
- ③半分が漿膜に包まれる:膀胱、子宮
- ④全く包まれず:腎臓、十二指腸、副腎、腹部大動脈、下大静脈、尿管、卵巣・精巣動脈、下腸間膜静脈
http://plaza.umin.ac.jp/~histsite/syoumaku.pdfを参照。
腹膜腔の解剖

腹部CT診断120ステップ (荒木力先生 中外医学者)P178を参考に作図。
- 肝より背側の腹側腸間膜を小網と呼び、頭側の肝胃間膜と尾側の肝十二指腸間膜からなる。後者の最下端に総肝動脈、門脈、総胆管が存在する。頭側の小網は胃体と静脈索裂を、尾側の小網は、胃前庭部、十二指腸球部と肝門を結ぶ。

腹部CT診断120ステップ (荒木力先生 中外医学者)P175を参考に作図。
- 背側腸間膜のうち脾より尾側の部分は、大きく尾側に垂れ下がり、大網を形成し、その背側部は横行結腸間膜と癒合する。
腹腔から腹部臓器および腸管、腸間膜を取り除いたら何が残るでしょうか?
十二指腸を残した下の図に書いてみてください。


腹膜腔と腸間膜や臓器の付着部に大きく分けられます。

重要解剖名
- 鎌状間膜
- 下大静脈
- bare area
- 胃脾間膜
- 肝十二指腸間膜
- 横行結腸間膜
- 横隔膜結腸靱帯
- 上行結腸間膜付着部
- 小腸間膜付着部
- 下行結腸間膜付着部
- 回結腸間膜
- S状結腸間膜
- 直腸

重要解剖名
- 右横隔膜下腔
- 左横隔膜下腔
- Winslow孔
- 網嚢(小網嚢)
- 右肝下腔(モリソン窩)
- 右傍結腸溝
- 右下結腸間膜腔
- 左下結腸間膜腔
- 左傍結腸溝

動脈と間膜の対応はこのようになります。
間膜とランドマークとなる主要動静脈
| 間膜 | 動静脈 |
| 肝胃間膜 | 左胃動静脈 |
| 胃脾間膜 | 短胃動静脈 |
| 脾腎間膜 | 脾動静脈 |
| 胃結腸間膜 | 右胃大網動静脈/大網動静脈 |
| 小腸間膜 | SMA,SMV |
| 横行結腸間膜 | 中結腸動静脈 |
| 回結腸間膜 | 回結腸動静脈 |
| 上行結腸間膜 | 右結腸動静脈 |
| S状結腸間膜 | S状結腸動静脈/IMA,IMV |
| 下行結腸間膜 | 左結腸動静脈/IMV |

症例で学ぶ腸間膜と腹膜腔の解剖

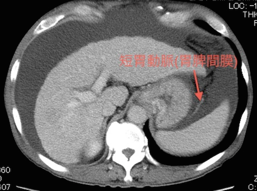
短胃動脈は胃脾間膜のメルクマールとなります。

肝鎌状間膜の右が右横隔膜下腔、左が左横隔膜下腔となります。

網嚢は胃と膵臓の間に存在する腹膜腔です。

脾動静脈は脾腎間膜のメルクマールとなります。

胃大網動静脈は胃結腸間膜のメルクマールとなります。

横行結腸間膜根部と小腸間膜根部の合流部の目安に胃結腸静脈幹(gastrocolic trunk)があります。

上腸間膜動静脈(SMA/SMV)は小腸間膜のメルクマールとなります。
横行結腸間膜より尾側では、右側に右下結腸間膜腔、左側に下結腸間膜腔があります。

S状結腸間膜はS状結腸動静脈/IMA,IMVがメルクマールとなります。

右結腸動静脈(上腸間膜動静脈からの分枝)は上行結腸間膜のメルクマールとなります。

回結腸動静脈(上腸間膜動静脈からの分枝)は回結腸間膜のメルクマールとなります。

下腸間膜動静脈を追うとS状結腸動静脈に分枝し、これがS状結腸間膜のメルクマールとなります。

中心は小腸間膜
- 小腸間膜は字のごとく、小腸に着く間膜で、SMAおよびSMV、その分枝がその内部を走行している。
- 小腸間膜根部は頭部で肝十二指腸間膜、腹側で横行結腸間膜と連続する。さらに、側方では、上行結腸間膜、下行結腸間膜とも連続性を有する。これらを繋ぎ、病変の進展経路となりうる。
- なお、GCT(胃結腸静脈幹)は、胃大網静脈、右結腸静脈、前上膵十二指腸静脈から構成され、横行結腸間膜根部と小腸間膜根部との合流部の目安となる。
S状結腸間膜
- S状結腸間膜の根部はIMAの分枝であるS状結腸動脈の起始部を頂点とした逆V字の形状を示す。

動画で学ぶS状結腸間膜(S状結腸憩室炎穿孔症例)
まとめ
- 発生を復習することで、各間膜の関係を知ることができる。それにより、炎症や腫瘍の波及が理解できる。
- 腸間膜は、小腸間膜、横行結腸間膜、S状結腸間膜などがある。それぞれ、支配する動静脈があり、それらをランドマークにすることで、どこで病変が起こっているかを同定できる。
- 腸間膜付着部を知ることで、腹膜腔の構造を理解できる。
参考)
・腹部CT診断120ステップ 荒木力先生
・解剖学講義 伊藤隆先生
・臨床画像2008年4月増刊号 若手放射線科医が知っておきたい腹部救急の画像診断 腹部解剖の必須事項 大分大学 松本俊郎先生
・画像診断2007年3月 ヘルニア 大分東部病院 沖野由理子先生
・胸腹部・骨盤部CT・MRI診断のキーワード160 杏林大学 土屋一洋先生
ご案内
腹部画像診断を学べる無料コンテンツ
4日に1日朝6時に症例が配信され、画像を実際にスクロールして読影していただく講座です。現状無料公開しています。90症例以上あり、無料なのに1年以上続く講座です。10,000名以上の医師、医学生、放射線技師、看護師などが参加中。胸部レントゲンの正常解剖を学べる無料コンテンツ
1日3分全31日でこそっと胸部レントゲンの正常解剖の基礎を学んでいただく参加型無料講座です。全日程で簡単な動画解説付きです。
画像診断LINE公式アカウント
画像診断cafeのLINE公式アカウントで新しい企画やモニター募集などの告知を行っています。 登録していただくと特典として、脳の血管支配域のミニ講座の無料でご参加いただけます。

お忙しいところ度々恐縮です.腸間膜の解剖を勉強しているのですが,やはりこのページのYouTubeも閲覧できなくなっています. ぜひ観たいので改善などあれば幸いです.
コメントありがとうございます。
限定公開にしました。
fitz-hugh-curtis症候群がどうして肝下面に多いのか,とかリンパ節転移の話とか含めて上級医から腸間膜の解剖を勉強するように言われたのですが,成書を開いてもピンとこず「???」となっていたのですが,ここのサイトの絵を眺めていてさきほどやっと理解できました. ありがとうございました
お世話になります。いつも大変勉強させてもらってます。
腸間膜の解剖図(背側腸間膜のうち脾より尾側の部分は、大きく尾側に垂れ下がり、大網を形成し、その背側部は横行結腸間膜と癒合する。の上の画像)が大変わかりやすく、使用させていただきたいのですが、こちらはどちらかの引用画像でしょうか?ご教示くださると幸いです、。
コメントありがとうございます。
追記しました。よろしくお願いします。