視路の局所解剖
- 網膜で視覚信号を感知した後、視神経→視交叉→視索→外側膝状体→視放線→後頭葉の一次視覚野に到達する。
- 後頭葉の一次視覚野はブロードマン第17野に相当し、後頭葉の内側から後端にかけて存在する。
- 後頭葉内側には鳥距溝(読み方は「ちょうきょこう」)があり、一次視覚野はその周囲に存在する。
- 視放線は外側膝状体からはじまり、側脳室の下角から後角に沿うように走行する。

視路のMRI画像における同定
- 視神経、視交叉、視索の同定は容易。
- 外側膝状体の同定は難しい。視床枕の後外側、聴覚の中継核である内側膝状体の外側に位置する。位相差強調画像を用いれば外側膝状体周囲の白質繊維を低信号に描出することにより、それらに囲まれた外側膝状体の輪郭が描出される。
- 視放線は側脳室に沿って認められ、T2WIで軽度高信号、T1WIで軽度低信号を呈する構造として同定することができる。
- 視放線を含む白質線維は拡散テンソル画像で側脳室に沿って前後方向に走行する線維束として認められる。
- 鳥距溝は大脳内側面を前後に斜走する脳溝で矢状断像や冠状断像で同定しやすい。
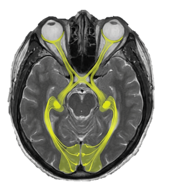
T2WIのMRI画像に視路に色をつけると以下の様になります。

解剖を見ていくと、

網膜→視神経→視交叉

視索→外側膝状体→視放線→視覚皮質
へと伝わります。
(それぞれの場所、特に外側膝状体の場所はおおよそとなります。)
視路を連続画像で見る場合はこちらをクリック。
実際には1スライスでこれらが見えることはありませんが、イメージとして1スライスにまとめて視路、視覚野を書き込むと以下の様なイメージになります。

次に拡散テンソル画像を見てみましょう。

視放線は拡散テンソル画像で側脳室に沿って前後方向に走行する線維束として認められる。
関連記事:皮質脊髄路(いわゆる錐体路)の MRI における解剖・経路は?
参考文献:
- 頭部 画像診断の勘ドコロNEO P10
- 画像所見から絞り込む!頭部画像診断やさしくスッキリ教えます P36−7
- 画像診断 Vol.43 No.1 2023 P34-5
- イラスト解剖学 第10版 P753-5
ご案内
腹部画像診断を学べる無料コンテンツ
4日に1日朝6時に症例が配信され、画像を実際にスクロールして読影していただく講座です。現状無料公開しています。90症例以上あり、無料なのに1年以上続く講座です。10,000名以上の医師、医学生、放射線技師、看護師などが参加中。胸部レントゲンの正常解剖を学べる無料コンテンツ
1日3分全31日でこそっと胸部レントゲンの正常解剖の基礎を学んでいただく参加型無料講座です。全日程で簡単な動画解説付きです。
画像診断LINE公式アカウント
画像診断cafeのLINE公式アカウントで新しい企画やモニター募集などの告知を行っています。 登録していただくと特典として、脳の血管支配域のミニ講座の無料でご参加いただけます。
