一目でわかる手根骨の解剖

手根骨、橈骨・尺骨、関節の解剖名とレントゲン画像所見
| 日本語 | 英語(標準表記) | 備考 |
|---|---|---|
| 三角骨 | triquetrum(triquetral bone) | 近位列・尺側 |
| 月状骨 | lunate | 近位列中央 |
| 舟状骨 | scaphoid | 近位列・橈側 |
| CM関節 | carpometacarpal joint | 略語:CMC joint |
| IP関節 | interphalangeal joint | 母指はIPのみ |
| MP関節 | metacarpophalangeal joint | 略語:MCP joint |
| PIP関節 | proximal interphalangeal joint | 第2~5指 |
| DIP関節 | distal interphalangeal joint | 第2~5指 |
| 中手骨 | metacarpal (bone) | 第1~第5 |
| 基節骨 | proximal phalanx | 全指に存在 |
| 中節骨 | middle phalanx | 母指は欠如 |
| 末節骨 | distal phalanx | 末端の爪下骨 |
| 尺骨茎状突起 | ulnar styloid process | 尺骨遠位端の突起 |
| 尺骨 | ulna | 前腕尺側骨 |
| 橈骨 | radius | 前腕橈側骨(手関節では遠位端を主に評価) |
近位手根骨
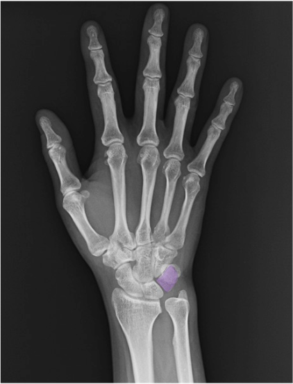
三角骨(triquetrum)
尺側近位列に位置。PA正面像では豆状骨(pisiform)に重なりやすいため輪郭が不明瞭なことがあります。斜位像では輪郭把握が容易。

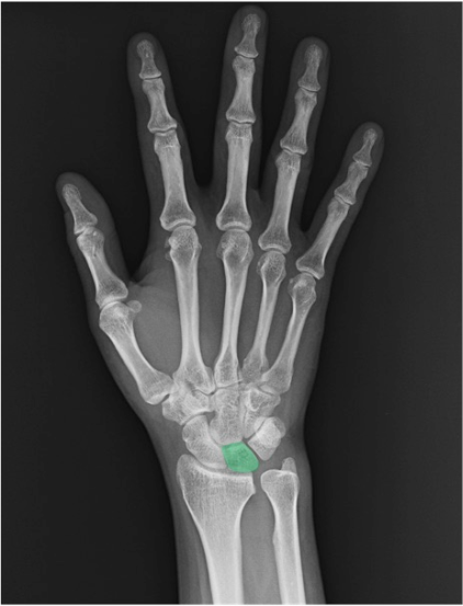
月状骨(lunate)
近位列中央。側面像で橈骨遠位端〜月状骨〜第3中手骨が一直線に配列するか確認(いわゆるアライメント)。半月形の輪郭と骨皮質の連続性に注目。

舟状骨(scaphoid)
近位列橈側。PA正面、尺屈位(ulnar deviation)で舟状骨の短縮・重なりを回避しやすく、腰部(waist)の評価がしやすくなります。

関節
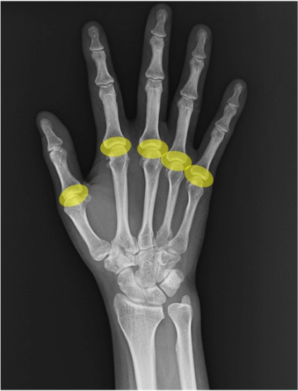
CM関節(carpometacarpal joint / CMC joint)
遠位手根骨と中手骨基部の関節。第1CMC(母指)は鞍関節(saddle)で可動性大。他のCMCは平面関節が主体で、PA像では関節裂隙の均等性を確認します。

IP関節(interphalangeal joint)
指節骨間の関節。母指はIPのみで、他指のPIP/DIPに相当。正面像で裂隙幅と骨棘・骨硬化の有無に注目。

MP関節(metacarpophalangeal joint / MCP)
中手骨頭と基節骨底の関節。PA像で楕円形の関節裂隙と均等性、側面像で背側板(示唆)や脱臼の有無を評価。

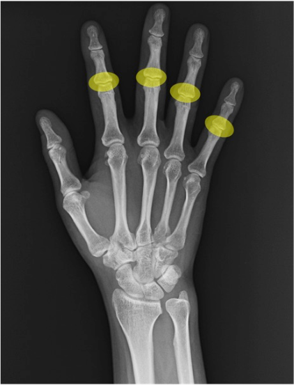
PIP関節(proximal interphalangeal joint)
第2~5指の近位指節間。PA像で裂隙均等性、側面像で関節面平行性を確認。変形性変化や外傷性変化のファーストチェックポイント。

DIP関節(distal interphalangeal joint)
第2~5指の遠位指節間。末節骨基部の骨硬化・骨棘や石灰化沈着などを確認。

中手骨・指骨
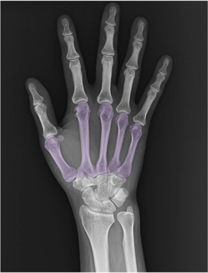
中手骨(metacarpal (bone))
第1〜第5の5本。PA像では基部(base)〜骨幹(shaft)〜骨頭(head)の連続性、骨皮質の途切れや骨梁配列をチェック。第1中手骨は短く、母指球側へ配列。

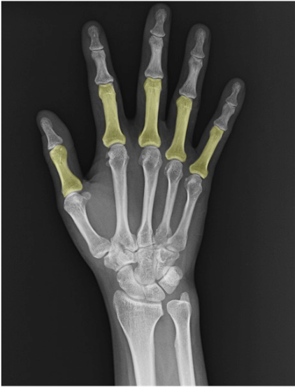
基節骨(proximal phalanx)
全指に存在。PA像で基底部の関節面とMCPとの整合、側面像で骨皮質の途切れ(裂離骨折など)に注意。

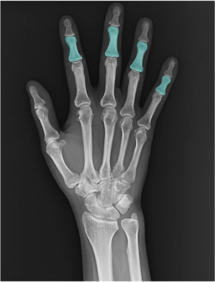
中節骨(middle phalanx)
第2~5指に存在(母指は欠如)。PIPとDIPのランドマークとして基部・頭部の形状を把握。

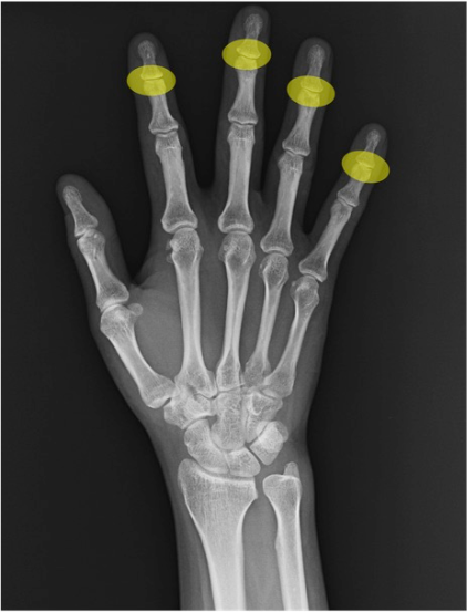
末節骨(distal phalanx)
末端の爪下骨。PA像で末節骨末端の“tuft(末節骨末節部)”の形態評価、打撲後は骨折線や爪床下血腫の示唆所見に注意。

尺骨領域
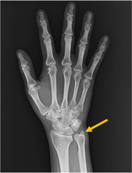
尺骨茎状突起(ulnar styloid process)
尺骨遠位端背側〜尺側に突出。PAや側面像で茎状突起の位置と骨片(尺骨茎状突起骨折)を確認。TFCC損傷の臨床背景と併せて評価することがあります。

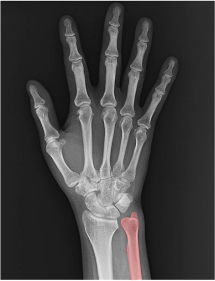
尺骨(ulna)
前腕の尺側骨。手関節X線では遠位部のみ視認。PAで橈尺関節(DRUJ)の整合、側面で重なり具合や背側/掌側転位の示唆を確認。

橈骨領域
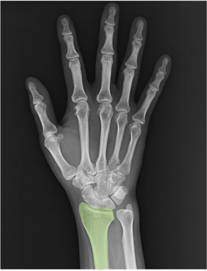
橈骨(radius)
前腕の橈側骨。手関節X線では遠位橈骨(distal radius)が主要評価部位です。PA像では舟状骨窩(scaphoid fossa)と月状骨窩(lunate fossa)の連続性、DRUJ(遠位橈尺関節)の整合を確認。側面像では掌側傾斜(volar tilt)や背側転位、関節面段差(step-off)の有無をチェックします。

ご案内
腹部画像診断を学べる無料コンテンツ
4日に1日朝6時に症例が配信され、画像を実際にスクロールして読影していただく講座です。現状無料公開しています。90症例以上あり、無料なのに1年以上続く講座です。10,000名以上の医師、医学生、放射線技師、看護師などが参加中。胸部レントゲンの正常解剖を学べる無料コンテンツ
1日3分全31日でこそっと胸部レントゲンの正常解剖の基礎を学んでいただく参加型無料講座です。全日程で簡単な動画解説付きです。
画像診断LINE公式アカウント
画像診断cafeのLINE公式アカウントで新しい企画やモニター募集などの告知を行っています。 登録していただくと特典として、脳の血管支配域のミニ講座の無料でご参加いただけます。
