眼窩内の生理的石灰化(orbital calcification)

眼窩内に生理的石灰化をしばしば偶発的に認めますが、主に3箇所です。

  • 外眼筋の強膜付着部
  • 滑車
  • ドルーゼン

です。

一つ一つ実際のCT画像と一緒に見ていきましょう。

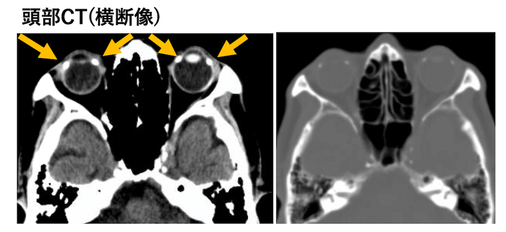
外眼筋の強膜付着部の石灰化

外眼筋の中でも、内直筋・外直筋の強膜への付着部で石灰化が起こり、高齢者に多く、強膜プラークとも呼ばれることがあります。(※アスベストの胸膜プラークとは全く別物です(^_^;))

症例 80歳代男性

右の内直筋・外直筋、左の内直筋の強膜付着部に石灰化を認めています。

滑車の石灰化

滑車は上斜筋を軟骨性の構造で、眼窩前内側に認めます。

50歳を超すと25%に見られ、CTで同部に曲線状の小さな石灰化を示すことが知られています。

症例 90歳代女性

両側の滑車に石灰化を認めています。

石灰化ドルーゼン

石灰化ドルーゼン(drusen)は、視神経乳頭部に生じる石灰化であり、網膜色素上皮下にヒアリン様物質が沈着し、それが石灰化することで形成されます。この病変は加齢に伴って出現することが多く、加齢黄斑変性(AMD)とは異なる病態ですが、一部では加齢黄斑変性の前駆病変とみなされることもあります。

通常は両眼性に認められることが多いものの、片眼性に現れる例もあります。臨床的には偶発的に発見されることが多く、無症候性で経過する場合も少なくありませんが、まれに視野異常を伴うこともあります。

症例 10歳代

引用:radiopedia

左の視神経乳頭に小さな石灰化を認めています。石灰化ドルーゼン(drusen)を疑う所見です。

非提示ですが右にも認めており、若年者であることから遺伝性が考えられました。

参考文献:画像診断 Vol.37 No.13 2017 P1331

ご案内

腹部画像診断を学べる無料コンテンツ

4日に1日朝6時に症例が配信され、画像を実際にスクロールして読影していただく講座です。現状無料公開しています。90症例以上あり、無料なのに1年以上続く講座です。10,000名以上の医師、医学生、放射線技師、看護師などが参加中。

胸部レントゲンの正常解剖を学べる無料コンテンツ

1日3分全31日でこそっと胸部レントゲンの正常解剖の基礎を学んでいただく参加型無料講座です。全日程で簡単な動画解説付きです。

画像診断LINE公式アカウント

画像診断cafeのLINE公式アカウントで新しい企画やモニター募集などの告知を行っています。 登録していただくと特典として、脳の血管支配域のミニ講座の無料でご参加いただけます。