膵臓には加齢や発育過程による形状の個人差があり、特に膵頭部外側縁や尾部に突出(lobulation)が認められることがあります。
これらは正常変異の範囲であり、CTやMRIで膵腫瘍と誤認されることもあるため、正しい知識が重要です。
膵頭部外側縁突出(protrusion of the lataral contour)
「膵頭部の側縁が突出し、あたかも腫瘍が存在するかのように見える」現象は、画像診断でしばしば報告されます。Radiology Key誌によれば、頭部・頸部の側縁にlobulations(>10 mm)が頻繁に見られ、腫瘍と誤診されることがあるが、典型的には正常膵と同等の濃度・信号強度を示す正常変異です 。
また、Wiley誌の過去のケース報告でも、膵頭部・頸部の輪郭異常が先天的融合奇形やlobulationとして識別され、正常変異として扱われた事例があります。
Rossらの造影CTの検討1)では胃十二指腸動脈(GDA)や前上膵十二指腸動脈(ASPDA)より1cm以上外方への膵組織突出の頻度は34.5%で、以下の様なバリエーションがあると報告しています。

- type1:前方型
- type2:後方型
- type3:水平型
の3つのタイプが報告されており、後方型が最多です。
背側、腹側膵原基の癒合パターンの関与が推測されています。
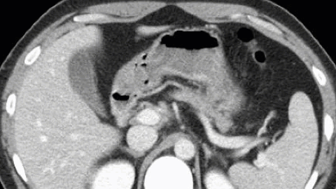
症例 20歳代男性 スクリーニング

膵頭部の外側縁が凸状に前方に突出しています。
膵実質と類似した形状および濃度であり、膵頭部外側縁突出を疑う所見です。
こちらの症例を動画で見てみましょう。

膵頭部だけではなくて、膵尾部にもやや分葉亜型がありますね。
症例 50歳代女性

膵頭部の外側縁が凸状に前方に突出しています。
膵実質と類似した形状および濃度であり、こちらも膵頭部外側縁突出を疑う所見です。
膵尾部の突出・形状バリエーション
膵体尾部にも、前方または後方に突出するタイプが認められます。LWWジャーナルの報告では、尾部・体部ではType Ia(前方突出)とIb(後方突出)という分類が提唱されています
- Type Ia:正常組織が前方に1 cm以上突出
- Type Ib:同様に後方に突出
- Type II:尾部形状異型として、globular(IIa)、lobulated(IIb)、tapered(IIc)、bifid(二叉、IId)などが存在 。
日本放射線学会誌に掲載された大規模なMDCT調査(449例)では、Type I(突出)は8.5%、尾部の形状異型(Type II)は約3.3%に認められ、特に前方突出(Ia)が最も多かったと報告されています 。
さらにResearchGate掲載の報告では、899例中、膵頭部ではglobularやelongatedなど多様な輪郭変異があり、膵体尾では前方突出8%、後方突出1.2%、globular8%、lobular4.4%、tapered2%、bifid1.8%の頻度が示されています 。
症例 70歳代男性

膵尾部が二つに別れているような形態をしていますが腫瘤ではなく、膵実質と同様な形状および濃度であり膵尾部のバリエーションであることがわかります。
関連:
参考文献:
- Normal variations in the lateral contour of the head and neck of the pancreas mimicking neoplasm
- Ichikawa T, et al. Pancreas: MDCT of anatomical variations and variants. RadiologyKey. Available from:
https://radiologykey.com/pancreas-4/ - Misra SP, Dwivedi M. Pancreatic morphology: contour variations should be recognized and not mistaken for pathology. Niger J Clin Pract. 2023;26(6):889–895.
Available from:
https://journals.lww.com/njcp/fulltext/2023/06000/pancreatic_morphology_contour_variations_should_be.13.aspx
- Kim SH, et al. Contour variations of the body and tail of the pancreas: evaluation with MDCT. Jpn J Radiol. 2017;35(5):259–266.
Available from:
https://www.researchgate.net/publication/315791394_Contour_variations_of_the_body_and_tail_of_the_pancreas_evaluation_with_MDCT
ご案内
腹部画像診断を学べる無料コンテンツ
4日に1日朝6時に症例が配信され、画像を実際にスクロールして読影していただく講座です。現状無料公開しています。90症例以上あり、無料なのに1年以上続く講座です。10,000名以上の医師、医学生、放射線技師、看護師などが参加中。胸部レントゲンの正常解剖を学べる無料コンテンツ
1日3分全31日でこそっと胸部レントゲンの正常解剖の基礎を学んでいただく参加型無料講座です。全日程で簡単な動画解説付きです。
画像診断LINE公式アカウント
画像診断cafeのLINE公式アカウントで新しい企画やモニター募集などの告知を行っています。 登録していただくと特典として、脳の血管支配域のミニ講座の無料でご参加いただけます。
